Anne karnında mucizeyi yaşadı

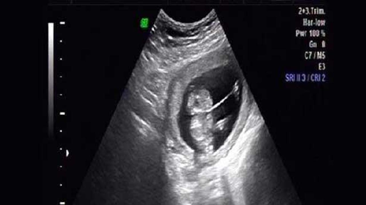
Konya'da, yapılan muayenede dudak ve damak yarığı, parmaklarda şekil bozukluğu, ayak ve kollarda bağ dolanması neden olan 'Amniyotik Band Sendromu' saptanan anne karnındaki 13 haftalık bebek ameliyat edildi.

ABONE OL
GİRİŞ 22.09.2013 12:05 GÜNCELLEME 22.09.2013 13:11 SAĞLIK
Anne karnında mucizeyi yaşadı

Bebeğin ayaklarına dolanan 'Amniyotik Band', başarılı bir operasyon sonrası alındı. Ameliyatı gerçekleştiren Özel Medicana Hastanesi Kadın Hastalıkları ve Doğum Uzmanı Prof. Dr. Metin Çapar, 'Amniyotik Band Sendromu'nun 1200 doğumda bir görüldüğünü söyledi. Amniyotik bantın bebeğin içerisinde bulunduğu içi amniyon sıvısı ile dolu amnion zarının katlantı yapması sonucu oluşan ip veya perde benzeri oluşan bir yapı olduğunu kaydeden Prof. Dr. Çapar, şunları söyledi:

"Bu bant, çocuk anne karnında büyüdükçe kol, ayak, yüz, baş, parmak gibi yerlere dolanarak kangren edip o organı ortadan kaldırır. Doğan bebekte el, kol, ayak veya parmak olmaması, yarık damak ve dudak oluşması bu banttan kaynaklanır. Bu madde çocuğun yüzde 80 oranında sorunlu doğmasına neden olur."

23 yaşındaki 13 haftalık hamile İ.K.'nın yapılan muayenesinde bebeğinde 'Amniyotik Band Sendromu' olduğunu saptadıklarını ifade eden Prof. Dr. Çapar, şöyle konuştu:

"Son olarak 17 haftalık bir bebeğin amniyotik band ameliyatını gerçekleştirmiştik. Ama anne karnındaki 13 haftalık bir bebeğin amniyotik band ameliyatı Türkiye'de ilk kez yaptık. Ameliyatı lokal anesteziyle ultrason altında gerçekleştirdik. Kalın bir aminiyosentez iğnesi ve çok özel ince bir makas kullandık. Amniyoz zarı içerisindeki bu bandı çıkardık. Bu ameliyat sonrası doğacak bebekte oluşma ihtimali bulunan el, kol, ayak veya parmak olmaması, yarık damak ve dudak oluşması gibi deformasyonları engellemiş olduk."

Prof. Dr. Çapar, yapılan ameliyatın ardından hastanın ve karnındaki bebeğinin sağlık durumunun iyi olduğunu belirtti.

KAYNAK : DHA