Beyin tümörlerinde 3 kritik sinyal!

Her baş ağrısı masum olmayabilir. Medipol Sağlık Grubu’ndan Beyin ve Sinir Cerrahisi Uzmanı Dr. Öğr. Üyesi Cevdet Gökçek, basit bir migren gibi görünen şikayetlerin altında ciddi tabloların yatabileceğini belirtti.

ABONE OL
GİRİŞ 08.12.2025 19:47 GÜNCELLEME 08.12.2025 19:48 SAĞLIK
Beyin tümörlerinde 3 kritik sinyal!

Gökçek, “Özellikle yeni başlayan baş ağrısına eşlik eden kusma ve nöbetler, beyin tümörünün habercisi olabilir” uyarısında bulundu.

Beyin tümörleri, beynin kendisinden, etrafındaki zarlardan veya kafatasından kaynaklanabildiği gibi vücudun başka bölgelerindeki kanserlerin beyne yayılmasıyla da oluşabiliyor.

Medipol Üniversitesi Pendik Hastanesi’nden Beyin ve Sinir Cerrahisi Uzmanı Dr. Öğr. Üyesi Cevdet Gökçek, beyin tümörleri hakkında önemli açıklamalarda bulundu. “Akciğer, meme ve böbrek gibi organlardaki bazı tümörler beyine metastaz yapabilir. Ayrıca bazı kan hastalıkları lenfoma gibi beyinde kendini gösterebilir” dedi.

BEYİN TÜMÖRÜ BELİRTİLERİ ÇEŞİTLİ OLABİLİYOR

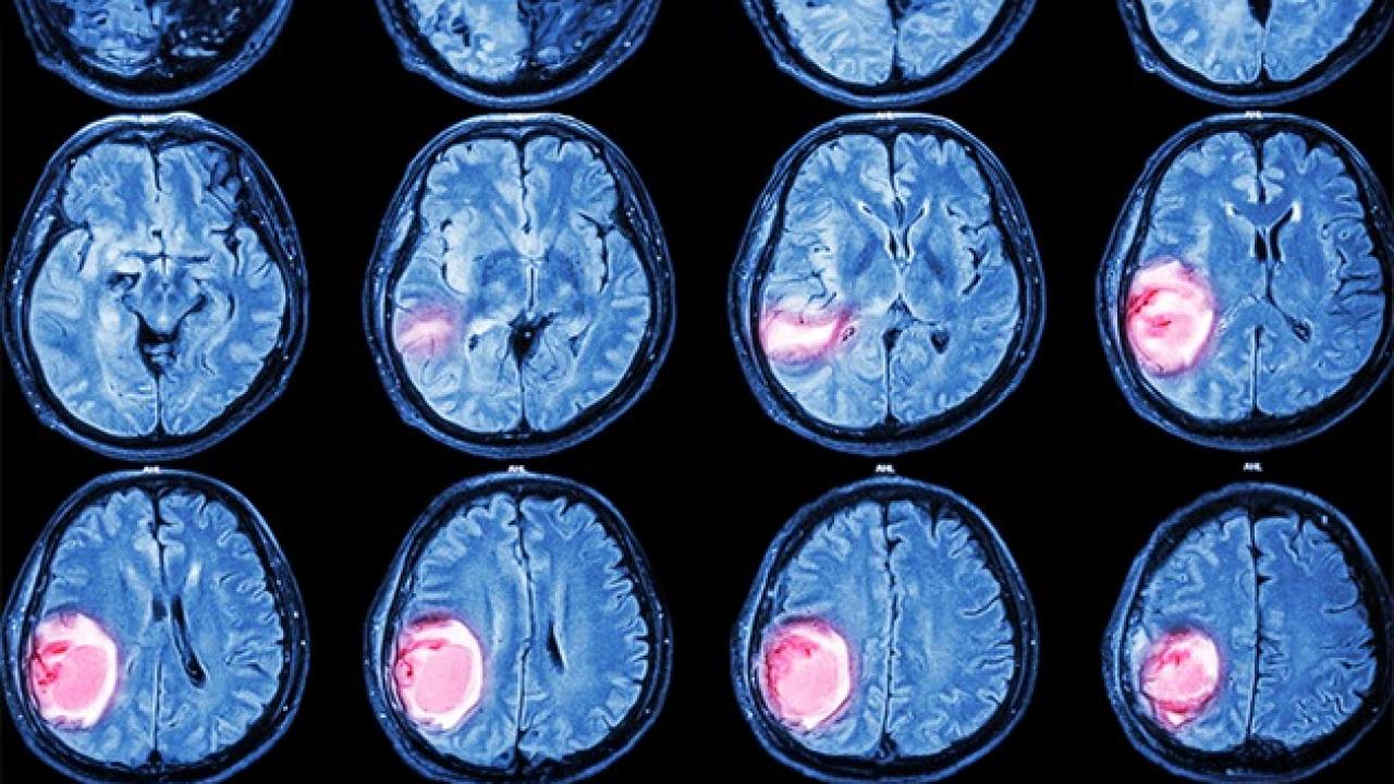
Beyin tümörlerinin belirtilerini sıralayan Dr. Gökçek, “Bulantı, kusma, baş ağrısı, baş dönmesi, sara nöbetleri, kişilik değişiklikleri, hafıza ve görme bozuklukları, anormal göz hareketleri ve kulakta çınlama beyin tümörlerinin en sık görülen belirtileri arasında” dedi. Beyin tümörlerinin kesin tanısı için MR çekiminin altını çizen Dr. Gökçek, “Kapalı alan korkusu olan hastalar için tomografi kısa sürede bilgi verebilir. Ancak beyin tümörlerinin doğru şekilde tespiti ve lokalizasyonu için MR şarttır” diye konuştu.

EN ETKİLİ TEDAVİ METODU CERRAHİ

Tedavi yöntemleri hakkında da bilgi veren Dr. Gökçek, “Günümüzde beyin tümörlerinin en etkili tedavi metodu cerrahidir. Beyin zarlarından kaynaklanan iyi huylu tümörler tamamen çıkarılırsa sonuçlar oldukça başarılı oluyor. Beynin kendi dokusundan çıkan tümörlerde ise cerrahi yaşam süresini uzatıyor. Cerrahinin yanı sıra radyoterapi ve kemoterapi de uygulanabiliyor” ifadelerini kullandı.

Dr. Gökçek son olarak şunları ekledi:

“Uzun süren veya yeni başlayan baş ağrısı, bulantı, kusma, kulakta çınlama, görme bozuklukları ve saran nöbetler yaşanıyorsa vakit kaybetmeden bir uzmana başvurulmalıdır. Erken tanı hayat kurtarır ve tedavi şansını artırır.”

Bahadır Alemdar Haber7.com - Editör

Editör Hakkında

Trabzon’da dünyaya geldi. İlk ve orta öğrenimini İstanbul’da tamamladı. Bahçelievler Anadolu Ticaret Meslek Lisesinde ‘Web Programcılığı’ bölümünden mezun oldu. Yüksek öğrenimini, Atatürk Üniversitesinde ‘Yeni Medya ve Gazetecilik’ mezunu olarak tamamladı. Gazeteciliğe ilk adımını 2011 yılında attı. 13 yıllık profesyonel meslek hayatında SEO içerik ve muhabirlik de dahil olmak üzere ağırlıklı olarak gündem, dünya, ekonomi, spor ve teknoloji kategorilerinde birçok haber ve röportaja imza atarak galeri ve video hazırladı. Bahadır Alemdar, meslek hayatına Haber7.com'da aktif olarak devam etmektedir.

İLGİNİZİ ÇEKEBİLİR