Anne babalar dikkat! 3 yaşındaki çocuğun boğazından çıkarıldı: Tam 19 tane

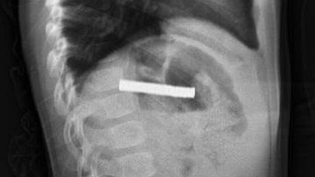
Elazığ'da 19 mıknatıs yuttuğu için yemek borusu ve mide girişi zarar gören 3 yaşındaki çocuk hastaya endoskopi yöntemi uygulandı. Yapılan uygulama ile 19 mıknatısların tamamı çıkarıldı.

ABONE OL
GİRİŞ 05.10.2025 17:36 GÜNCELLEME 05.10.2025 17:36 SAĞLIK
Anne babalar dikkat! 3 yaşındaki çocuğun boğazından çıkarıldı: Tam 19 tane

Alınan bilgiye göre, Erzurum'da bir çocuk evde bulunan 19 tane mıknatısı yuttu.

 

ELAZIĞ'A SEVK EDİLDİ

Çocuğun rahatsızlanması sonucu durumu öğrenen aile hastaneye gitti.

Hastanede yapılan muayene ve tetkiklerin ardından 3 yaşındaki çocuk Elazığ’a sevk edildi.

10 yaşındaki çocuğun acı ölümü: Oynadığı balon sonu oldu!

13 yaşındaki çocuğun acı ölümü: Duvara çarpıp öldü!

Şanlıurfa'da 4 yaşındaki çocuk oyun oynarken dehşeti yaşadı!

MIKNATISLARIN YEMEK BORUSUNA YAPIŞTIĞI TESPİT EDİLDİ 

Fırat Üniversitesi Çocuk Gastroenteroloji Hepatoloji ve Beslenme Bilim Dalı Başkanı Prof. Dr. Yaşar Doğan, çocuk hastanın yemek borusuna yapışmış 19 mıknatısı endoskopik yöntemle çıkardı.

Mıknatıslar uzun süre yemek borusunda takılı kaldığı için yemek borusu ve mide girişinde zedelenmeler olurken, çocuğun sağlık durumunun iyi olduğu ve taburcu edildiği öğrenildi.

KAYNAK : İHA
Esmanur Kadak Haber7.com - Editör

Editör Hakkında

Malatya’da doğan Esmanur Kadak yüksek öğrenimini İstanbul’da tamamladı. 2022 yılında Marmara Üniversitesi İletişim Fakültesi “Gazetecilik” bölümünden mezun oldu. Üniversite öğrenimi sırasında, serbest zamanlı olarak Bilimevi Basın Yayın A.Ş.'de Özel İçerik Editörü olarak çalıştı. Mezun olduktan sonra Eylül 2022 - Temmuz 2024 tarihleri arasında yerel bir gazetede “Genel Koordinatör” olarak görev aldı. Son olarak Haber7.com’da Yerel Haber Editörü olarak kariyerine devam ediyor.

İLGİNİZİ ÇEKEBİLİR