Fas’tan Beşiktaş'a midesinde uyuşturucu getirdi: Ameliyatla çıkarıldı

Beşiktaş’ta 3 bin kilometre uzaklıktaki Fas’tan uçakla Türkiye’ye gelen Cüneyt Ç.’nin mide ve bağırsaklarında yabancı madde bulunduğu tespit edildi. Ameliyata alınan Cüneyt G.’nin mide ve bağırsaklarından 49 adet esrar macunu çıkarıldı.

ABONE OL
GİRİŞ 22.12.2025 10:54 GÜNCELLEME 22.12.2025 11:03 GÜNCEL
Fas’tan Beşiktaş'a midesinde uyuşturucu getirdi: Ameliyatla çıkarıldı
Fas’tan Beşiktaş'a midesinde uyuşturucu getirdi: Ameliyatla çıkarıldı

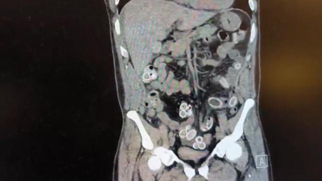
Fas’tan yaklaşık 3 bin kilometre uzaklıktan uçakla Türkiye’ye gelen Cüneyt G., 2 gün sonra karın ağrısı şikayetiyle Fulya’daki özel bir hastaneye başvurdu. Yapılan muayenenin ardından Cüneyt G.’nin tomografisi çekildi. Şüphelinin mide ve bağırsaklarında yabancı madde tespit edilmesi üzerine hastane yetkilileri durumu polis ekiplerine bildirdi.

ESRAR KAPSÜLLERİ AMELİYATLA ÇIKARILDI

İhbar üzerine çalışma başlatan Beşiktaş Asayiş Büro Amirliği ekipleri, doktorlarla görüşme gerçekleştirdi. Doktorların değerlendirmesi sonrası ameliyata alınan Cüneyt Ç.’nin bağırsaklarından, toplam ağırlığı 259,7 gram olduğu öğrenilen 49 esrar macunu çıkarıldı. Şüpheliye ait 1 adet cep telefonu da hastane yetkilileri tarafından polis ekiplerine teslim edildi.

TABURCU OLDUKTAN SONRA TUTUKLANDI

Tedavisinin ardından taburcu edilen Cüneyt Ç., polis ekiplerince gözaltına alındı. Emniyetteki işlemleri tamamlanan şüpheli, adliyeye sevk edildi. Cüneyt Ç., çıkarıldığı mahkemede 'Uyuşturucu madde ticareti yapmak' suçundan tutuklanarak cezaevine gönderildi. Cüneyt G.’nin poliste daha önceden 'Kasten yaralama' ve 'Taksirle yaralama' suçlarından kaydı olduğu öğrenildi.

KAYNAK : DHA
Ayşe Çolpan Tan Haber7.com - Editör
Haber 7 - Ayşe Çolpan Tan

Editör Hakkında

1990 yılında İstanbul’da doğdu. Meslek hayatına Aydın Doğan Anadolu İletişim Meslek Lisesi’nde Gazetecilik bölümü okuyarak başladı. İlk stajını Hürriyet Gazetesi’nde yaptı. Üniversiteyi ise İstanbul Üniversitesi Radyo Televizyon Yayımcılığı bölümünde tamamladı. 2009 yılında Milliyet Gazetesi’nde internet haberciliğine başladı. 15 senelik kariyerinde çok sayıda gazete, haber portalı ve televizyon bulunmaktadır. Meslek hayatına Haber7.com’da “Gündem Editörü” olarak devam etmektedir. Evli ve 2 çocuk annesidir.
YORUMLAR İLK YORUM YAPAN SEN OL
  • mustafa yaşar 1 saat önce Şikayet Et
    Bu editör sürekli ya feneri öven yaIları paylaşır yada çoğu zaman yanlış harf kullanmayı tekrarlar. Biraz daha dikkat editör
    Cevapla
  • selim66 1 saat önce Şikayet Et
    Admin Cüneyt Ç.mi Cüneyt G.mi karar verin
    Cevapla

İLGİNİZİ ÇEKEBİLİR